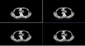
persistent inferior paraspinal mass
located in posterior basal segment
Intralobar sequestration 多於 extralobar
left side 多於 right
feeding by thoracic aorta, pulmonary venous drainage
與 extralobar sequestration (drain 到 systemic vein) 區分。
Reference: Diagnostic Imaging: Chest Jud W. Gurney 
網頁
▼
2011年6月27日 星期一
2011年6月26日 星期日
轉錄 收入薪水降低 大家都默默忍耐
連結 http://disp.cc/b/27-1VL1
 
難得看到的好文!!
作者 EvolutionWin (真麻煩) 看板 Gossiping
標題 Re: [問卦] 收入薪水降低 大家都默默忍耐
時間 Sat Jun 25 00:08:44 2011
作者 EvolutionWin (真麻煩) 看板 Gossiping
標題 Re: [問卦] 收入薪水降低 大家都默默忍耐
時間 Sat Jun 25 00:08:44 2011
我家是在中部種蘭花的
某個負責澆水有時要兼送貨的工人 到職一年多 每天早上7:30上班 下午4:30下班
日薪1200 加班費另外依比例計算
月休四天加上有的沒有的津貼的話 加上偶而加班的加班費 實領36K左右
他高中畢業 大約快要四十歲 我是小老闆 他最近有在暗示我他覺得他的薪水太低
我希望我接手後把他們的薪水都升到40K以上 因為我覺得日薪1200有一點再壓榨他們
想當初我研究所畢業剛去台北當國防役就有52K 還周休兩天 國定假日也休
還有半薪病假 特休可以請 超爽
不過畢竟我比他多讀了六年書 多繳了六年學費 那六年沒工作等於比他少賺了六年的錢
多考了幾次試 多費了許多心思 領52K也是應該的
雖然我家種蘭花年淨賺800萬左右 員工的薪水一個月大概四十幾萬
算一算 員工薪水一年大約500萬左右
也就是說 錢大部分都是我家賺走了 我家賺800萬 員工那麼多人才去均分那500萬
我家還是勞力密集的傳統產業 人力成本較高
至於其他產業是怎樣我就不知道了
難怪這個社會會貧富不均了
聽歐洲種蘭花的客戶說他們歐洲的勞工薪水是台灣的3倍以上
如果我家是開在歐洲 那麼員工薪水應該是1500萬
也就是如果我家開在歐洲 我們不但每年沒辦法賺800萬 還要倒貼兩百萬
所以我家的競爭力完全是來自於低廉的人力成本 而不是基於真正跟歐洲的競爭力
我跟我爸反應員工薪水有點低 但我爸跟我說我家的薪水在種花的業界聽說是非常高的
我家附近的蘭花廠有的女工一天只有500塊日薪 但通常500塊請到的人
都是動作都比較慢 比較不零敏的 工作沒有效率
我們的女工雖然日薪900(資深的會到一千多)
但生產力是日薪500的女工的2.3倍左右 所以我們用900請到的女工還是比較划算
因為我認為我們之所以獲利完全是基於員工的低薪
所以我認為要進行垂直整合 再下遊要繞過貿易商 自己掌握通路
在上遊要自行開發育苗技術 整合成功後 毛利估計可以提升2.5倍
我希望我的女工可以實領四萬左右 澆水搬貨比較累的男工可以實領五萬以上
所以我現在很努力的學習上遊技術 並且為了繞過抽成很大的貿易商補習英語會話
雖然整合的過程中最大的阻力不是技術 know how 不是本身的資質
而是我那固執不願意做任何改變的老爸(我跟他說一些新的東西會跟我翻臉)
他覺得維持現況就很好 員工就是要用只會傻傻的做事 不會思考的那種才會幫你賺錢
也不用在去整合什麼上下遊 他覺得用目前的模式就是成功模式 不需要再改變了
我有認識一些回鄉的小老闆 都遇到跟我類似的問題 稍有成功者的老人皆已自傲且固執
要快速的改變現狀 可能只能靠勞工意識的覺醒了
台灣很多公司的競爭力 純粹是來自於壓榨勞工的低薪
而不是來自技術的研發與產品本身的競爭力
如果台灣的工資有歐洲的1/2 應該會倒一堆中小企業
而這些中小企業 包括我目前的家 我認為是沒資格在國際上生存的
2011年6月25日 星期六
CXR 胸部x光判讀 pulmonary cryptococcus



References:
1. Clinical features and high-resolution CT findings of pulmonary cryptococcosis in non-AIDS patients
http://www.journals.elsevierhealth.com/periodicals/yrmed/article/PIIS0954611105003756/abstract
2. Pulmonary cryptococcosis in non-AIDS patients
http://cimonline.ca/index.php/cim/article/view/5090
CT : solitary or multiple nodules in subpleural areas, with or without cavity
2014-7-3 update:
2011年6月21日 星期二
CXR 胸部x光判讀 right aortic arch
2011年6月20日 星期一
CXR 胸部x光判讀 Langerhans Cell Histiocytosis



Histiocyte: S-100 (+), CD1A (+)
LCH: typical upper lung predominant,multiple nodules
LAM: Diffuse distribution,absent lung nodule.
 References:
References:Multiple Cystlike Lung Lesions in the Adult
http://www.ajronline.org/cgi/content/full/194/1/W1
2011年6月13日 星期一
CXR 胸部x光判讀 Systemic sclerosis
DNA 相似度
謝賢抱孫驗DNA 相似度只有0.3%?
http://n.yam.com/ebcnews/entertain/201106/20110612035708.html
http://n.yam.com/ebcnews/entertain/201106/20110612035708.html
http://news.bbc.co.uk/chinese/trad/hi/newsid_1330000/newsid_1335300/1335370.stm
研究人員研究了亞洲男性非活性基因的脫氧核糖核酸(DNA),隨後在其他靈長類動物中尋找相應的基因序列,最後分析兩組基因序列的差異。
他們發現人類和黑猩猩DNA之間的差異只有1.24%,比以前估計的差異還少了0.5%。人類和大猩猩之間DNA的差異是1.62%,而人類和猩猩之間DNA的差異為1.63%,這些數據都比原來認定的要低。
讀書心得 結核病診治指引 摘要
http://www.cdc.gov.tw/ct.asp?xItem=5710&ctNode=1540&mp=230
   
Anti-TB 藥物 (reference: 臨床使用抗生素手冊)
INH: 對快速增殖的細胞外結核菌特別強
RIF: 可殺死快速增殖,緩慢增殖的結核桿菌(包括吞噬細胞內), 與 enfuvirtide 無交互作用
PZA: 中性或鹼性中缺乏殺菌效力
EMB: 只有抑菌效力
Resection for pulmonary TB
MDR/XDR limited in lung
massive hemoptysis
bronchopleural fistula
TB immunity
specific CD4 T cell 釋放 IL-2, 刺激T cell 生長 specific CD4 T cell 釋放 IFN-γ, macrophage activation
Macrophage 釋放 TNF-α
結核病診治指引 (線上閱讀)
http://www.cdc.gov.tw/ct.asp?xItem=33699&ctNode=78&mp=1
近年WHO認為胸部X光診斷的信賴度不高
結核性腦膜炎 建議治療 12個月,並使用類固醇
粟粒性結核,最常侵犯肺部、肝臟、脾臟
治療
一般:INH + RMP + PZA + EMB 2 個月,再 INH + RMP + EMB 4 個月
all sensitive: INH + RMP + PZA 2 個月,再 INH + RMP 4 個月。
INH 肝毒性的危險因素:酒精性肝炎、年紀、與 RMP併用
不建議常規使用 vitamin B6
INH, RMP 空腹時服用效果較好
PZA, EMB 不受食物影響
限制傳染性結核病患搭乘大眾航空器出國出境
http://www.cdc.gov.tw/public/Attachment/99229511471.pdf
結核病診治指引(第四版)
l         
塗片染色必須每mL 標本有5000 至10000 隻細菌方能檢測出
l         
培養比鏡檢更敏感,每mL 標本10 至100 隻細菌即可偵測到
l         
傳統採用利用聚合酶連鎖反應(polymerase chain
reaction, PCR)可偵測臨床標本之結核菌低至10 隻細菌,且於幾小時內完成。
Lowenstein-Jensen 培養基或Middlebrook 7H10 或7H11 等固體培養基約需4 至8 週才有結果;
而自動化液體培養基系統BACTEC MGIT 960 利用Middlebrook 7H9 液體培養基,可在檢體培養2 週左右即可知道是否陽性。 
結核病診治指引(第四版)
Anti-TB 藥物 (reference: 臨床使用抗生素手冊)
INH: 對快速增殖的細胞外結核菌特別強
RIF: 可殺死快速增殖,緩慢增殖的結核桿菌(包括吞噬細胞內), 與 enfuvirtide 無交互作用
PZA: 中性或鹼性中缺乏殺菌效力
EMB: 只有抑菌效力
Resection for pulmonary TB
MDR/XDR limited in lung
massive hemoptysis
bronchopleural fistula
TB immunity
specific CD4 T cell 釋放 IL-2, 刺激T cell 生長 specific CD4 T cell 釋放 IFN-γ, macrophage activation
Macrophage 釋放 TNF-α
結核病診治指引 (線上閱讀)
http://www.cdc.gov.tw/ct.asp?xItem=33699&ctNode=78&mp=1
近年WHO認為胸部X光診斷的信賴度不高
結核性腦膜炎 建議治療 12個月,並使用類固醇
粟粒性結核,最常侵犯肺部、肝臟、脾臟
治療
一般:INH + RMP + PZA + EMB 2 個月,再 INH + RMP + EMB 4 個月
all sensitive: INH + RMP + PZA 2 個月,再 INH + RMP 4 個月。
INH 肝毒性的危險因素:酒精性肝炎、年紀、與 RMP併用
不建議常規使用 vitamin B6
INH, RMP 空腹時服用效果較好
PZA, EMB 不受食物影響
限制傳染性結核病患搭乘大眾航空器出國出境
http://www.cdc.gov.tw/public/Attachment/99229511471.pdf
2011年6月10日 星期五
2011年6月4日 星期六
lung cancer 整理 2
ERCC1 , RRM1
 References:
References:
http://www.jnccn.org/content/8/7/740.extract
http://www.plosone.org/article/info%3Adoi%2F10.1371%2Fjournal.pone.0003695one.0003695
Pathology of lung adenocarcinoma
grade 1: nonmucinous lepidic
grade 2: acinar, papillary
grade 3: solid, micropapillary
Nonmucinous BAC: more EGFR
Mucinous BAC: more K-ras
建議所有的adenocarcinoma 或 NSCLC NOS 都要測 EGFR
References:
1. http://www.cscpweb.org/Travis_Lung%20Ade.pdf
2. International Association for the Study of Lung Cancer/American Thoracic Society/European Respiratory Society International Multidisciplinary Classification of Lung Adenocarcinoma JTO 2011
http://journals.lww.com/jto/Fulltext/2011/02000/International_Association_for_the_Study_of_Lung.4.aspx
Immunohistochemical staining in lung cancer
Malignant mesothelioma: WT-1, calretinin, D2-40, cytokeratin 5/6 (+)
CEA, B72.3, Ber-EP4, MOC31 (-)
Solitary fibrous tumor: vimentin, CD34 (+), keratin (-)
Small cell lung cancer: immunoreactive for keratin, epithelial membrane antigen, TTF-1 (+)
Primary lung adenocarcinoma: TTF-1 (+), CK7 (+), CK20 (-)
Metastatic adenocarcinoma from colon: CDX-2 (+), CK7(-), CK20(+)
SCC: CK5/6 (+), p63 (+), 34βE12 (+)
DNA mutation in lung cancer
 small cell lung cancer 2nd line C/T: topotecan (not irinotecan)
small cell lung cancer 2nd line C/T: topotecan (not irinotecan)
K-ras: chromosome 12
Tumor suppressor gene: 3p21.3 (site of RASSF1A), 3p14.2 (FHIT), 9p21 (p16), and 17p13 (p53).
EGFR: never smoker 多, survival 較好
KRAS : tobacco exposure, uncommon in SCC
VEGF: poor prognosis
NIPPV indication:
acute exacerbation of COPD
cardiogenic pulmonary edema
immunocompromised
soon after extubation
Clinical review: Critical illness polyneuropathy and myopathyhttp://ccforum.com/content/12/6/238
reduction in or absence of deep tendon reflexes
serum creatine kinase, 並非很有幫忙
Risk factor: renal failure, renal replacement therapy, hyperglycemia
Biopsy result: a. diffuse non-necrotising 'cachectic' myopathy b. myopathy with selective loss of thick (myosin) filaments c. acute necrotising myopathy
 References:
References:
http://www.jnccn.org/content/8/7/740.extract
http://www.plosone.org/article/info%3Adoi%2F10.1371%2Fjournal.pone.0003695one.0003695
Pathology of lung adenocarcinoma
grade 1: nonmucinous lepidic
grade 2: acinar, papillary
grade 3: solid, micropapillary
Nonmucinous BAC: more EGFR
Mucinous BAC: more K-ras
建議所有的adenocarcinoma 或 NSCLC NOS 都要測 EGFR
References:
1. http://www.cscpweb.org/Travis_Lung%20Ade.pdf
2. International Association for the Study of Lung Cancer/American Thoracic Society/European Respiratory Society International Multidisciplinary Classification of Lung Adenocarcinoma JTO 2011
http://journals.lww.com/jto/Fulltext/2011/02000/International_Association_for_the_Study_of_Lung.4.aspx
Immunohistochemical staining in lung cancer
Malignant mesothelioma: WT-1, calretinin, D2-40, cytokeratin 5/6 (+)
CEA, B72.3, Ber-EP4, MOC31 (-)
Solitary fibrous tumor: vimentin, CD34 (+), keratin (-)
Small cell lung cancer: immunoreactive for keratin, epithelial membrane antigen, TTF-1 (+)
Primary lung adenocarcinoma: TTF-1 (+), CK7 (+), CK20 (-)
Metastatic adenocarcinoma from colon: CDX-2 (+), CK7(-), CK20(+)
SCC: CK5/6 (+), p63 (+), 34βE12 (+)
DNA mutation in lung cancer
 small cell lung cancer 2nd line C/T: topotecan (not irinotecan)
small cell lung cancer 2nd line C/T: topotecan (not irinotecan)K-ras: chromosome 12
Tumor suppressor gene: 3p21.3 (site of RASSF1A), 3p14.2 (FHIT), 9p21 (p16), and 17p13 (p53).
KRAS Mutations in Non–Small Cell Lung Cancer
http://pats.atsjournals.org/cgi/content/abstract/6/2/201EGFR: never smoker 多, survival 較好
KRAS : tobacco exposure, uncommon in SCC
VEGF: poor prognosis
Angiogenesis in non-small cell lung cancer: The prognostic impact of neoangiogenesis and the cytokines VEGF and bFGF in tumours and blood
http://www.lungcancerjournal.info/article/S0169-5002%2805%2900498-8/abstractOncogenes and Antioncogenes in Lung Tumorigenesis
http://chestjournal.chestpubs.org/content/109/5_Supplement/130S.abstractNIPPV indication:
acute exacerbation of COPD
cardiogenic pulmonary edema
immunocompromised
soon after extubation
Clinical review: Critical illness polyneuropathy and myopathyhttp://ccforum.com/content/12/6/238
reduction in or absence of deep tendon reflexes
serum creatine kinase, 並非很有幫忙
Risk factor: renal failure, renal replacement therapy, hyperglycemia
Biopsy result: a. diffuse non-necrotising 'cachectic' myopathy b. myopathy with selective loss of thick (myosin) filaments c. acute necrotising myopathy

















