

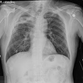
如上圖,88M, COPD with right pneumothorax history. Chest tightness for hours, HR120 beats/min, RR 32/min, BP 137/65 mmHg. PE: RLL decreased breath sound. EKG: RBBB pattern, no significant STT changes. Give O2 non-rebreathing mask 100% and oximeter showed SpO2 89%.
CK-MB, troponin-I normal limit.
追蹤CXR 如下

Favor chest tightness due to interdependence in the lung (personal opinion)















