Archive for 5月 2011
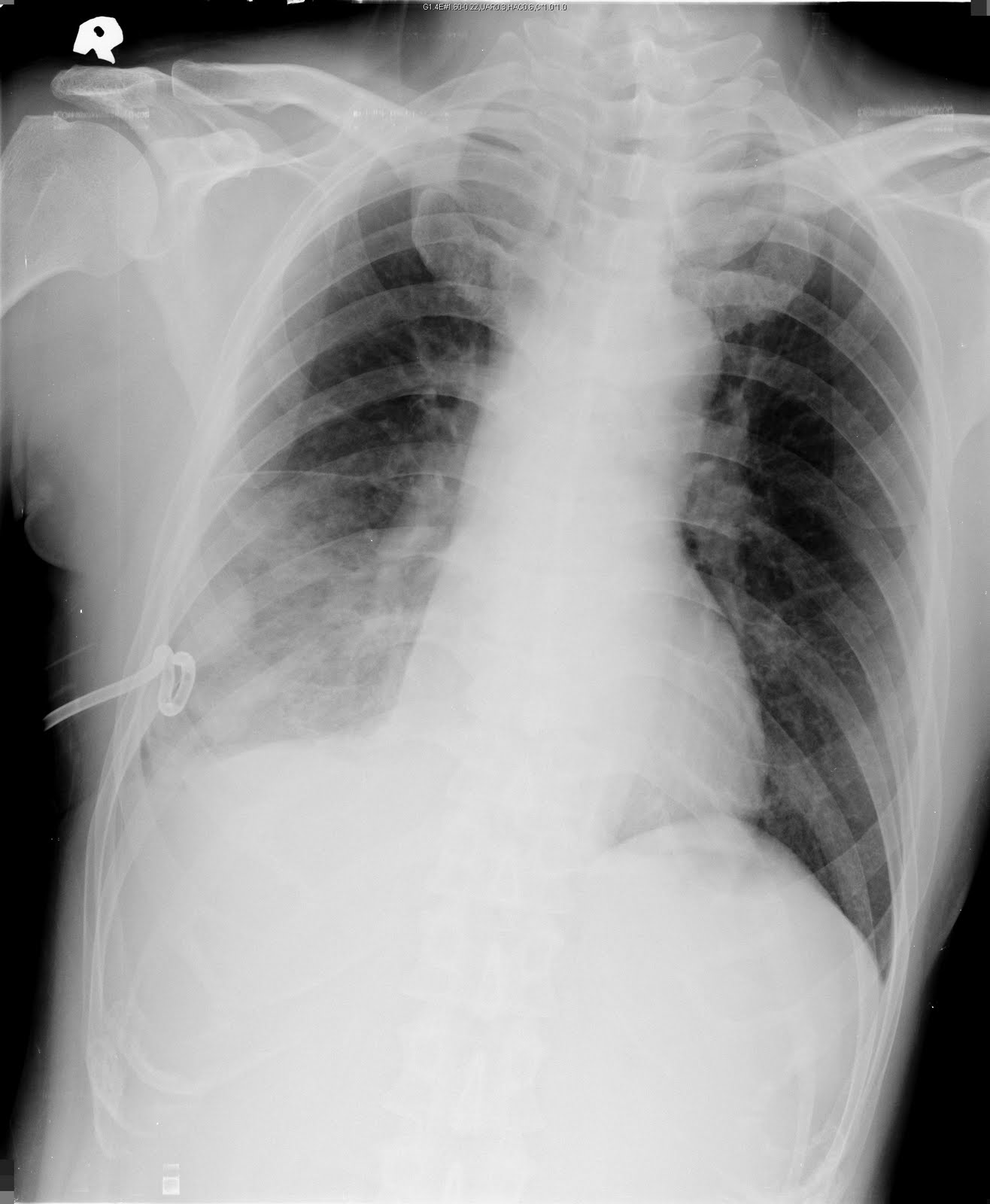
CXR 胸部x光判讀 malignant mesothelioma




Nonpleuritic chest pain
40% thrombocytosis
unilateral pleural effusion or thickening
CT:
Rind-like pleural involvement,
mediastinal pleural involvement,
pleural nodularity
pleural thickness more than 1 cm
http://www.ejradiology.com/article/S0720-048X%2801%2900426-0/abstract
need IHC stain for diagnosis from metastatic adenocarcinoma
吸入型藥物 整理
Inhaled Corticosteroids
Peter J. Barnes Pharmaceuticals 2010, 3, 514-540
http://www.mdpi.com/1424-8247/3/3/514/
摘要
1. Inhaled corticosteroid: 增加 β2 receptor gene transcription,避免使用LABA後的down-regulation,prevention β agonist tolerance。
2. β2 agonist 增加 translocation of GR from cytoplasm to the nucleus,增加抗發炎的效果
合併治療可以降低ICS劑量
COPD

Histamine
H1 receptor: bronchoconstriction
H2 receptor: mucus secretion
H3 receptor: mediate modulation of cholinergic and sensory nerve.
LTD4: eosinophilic inflammation (asthma)
LTB4: chemotactic agent for neutrophil (COPD)
Leukotrience modifier Zileuton: blocks 5-lipoxygenase (arachadonic acid to LTA4)
Montelukast: inhibit leukotrienes receptor, block LTD4 ( and LTC4, LTE4), use in aspirin induced asthma

http://www.nhlbi.nih.gov/guidelines/asthma/asthsumm.pdf
MDI 使用
shake 5 secs --- inhal deep and slow --- hold breath 4-10 secs
優點:
缺點:需要 deep and slow breath, hand-breath coordination
使用spacer 增加lung deposition。不可連按兩下以上,按兩下效果小於一下。spacer不需每次清洗。
備勞喘(連結)
http://www.tmch.org.tw/VS/pharmacy/pharmacy02-1.files/PDF/9001-Berotec%20MDI.pdf
DPI 使用
inhal quickly and deeply (2-3 secs) --- hold breath
優點:不需hand-breath coordination. Lung deposition最佳。
缺點:需要足夠 peak inspiratory flow, turbuhaler 會潮溼
同樣轉一下要吸一次藥。
Nebulizer
需要常清洗device。
Balancing the benefits and risks of inhaled long-acting beta-agonists- The influence of values
N Engl J Med 2009; 360:1592-1595The FDA and Safe Use of Long-Acting Beta-Agonists in the Treatment of Asthma
N Engl J Med 2010; 362:1169-1171
使用 LABA 會增加 asthma-related death,如果真的需要使用在asthma control ,建議用fixed-dose combination product
Xolair is effective in allergics with a low serum IgE level.
Int Arch Allergy Immunol. 2010;152(1):71-74
Heat and moisture exchanger
http://www.rcjournal.com/cpgs/hdmvcpg.html
Reference: Murray and Nadel's Textbook of Respiratory Medicine, 5th ed.
CXR 胸部x光判讀 pulmonary embolism

Left lung oligemia (Westermark sign)


pulmonary embolism in left pulmonary artery

1. Only 10% involve the upper lobe
2. pulmonary infarction 10-15%, wedge-shaped
3. Westermark’s sign (focal oligemia) Palla’s sign (prominent right descending pulmonary artery)
4. Pleural effusion
5. Elevated the diaphram
References: Radiology of Chest Diseases
CXR 胸部x光判讀 aortic dissection

Type A aortic dissection

After operation

Widened superior mediastinum, double aortic knob,displaced intimal calcification
DD with aortic aneurysm, mediastinal tumor, tortuosity of aorta
aortic dissection
http://reference.medscape.com/features/slideshow/aortic-dissection