Archive for 7月 2011
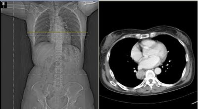
CXR 胸部x光判讀 hiatal hernia
Hiatal hernia (Paraesophageal hernia)
http://www.mssurg.net/Team5Conferences/Paraesophageal%20Hernia%20-1.pdf
Type 1 sliding hernia, type 2 paraesophageal hernia, type 3 mixed, type 4 massive
Type 1: reflux related medical treatment
Type 2: no medical treatment
GERD
http://www.tma.tw/ltk/97510904.pdf
Los Angeles classification:
A級:一條或多條黏膜破損(糜爛、潰瘍)小於或等於5公釐,並不延伸超過兩條黏膜皺摺。
B級:一條或多條黏膜破損大於5公釐,但並不延伸超過兩條黏膜皺摺。
C級:黏膜破損在兩條黏膜皺摺間互相延續或融合,但不超過75%的食道管腔圓周。
D級:黏膜破損在兩條黏膜皺摺間互相延續或融合,且超過75%的食道管腔圓周。
http://erm.ersjournals.com/content/erm/ermpmsd/1/SEC13.abstract.html
轉錄 ptt [感想] 男怕入錯行 (給徘徊在醫中牙抉擇的你)
http://www.ptt.cc/bbs/medstudent/M.1311188779.A.D53.html
非常好文 !!!!
男怕入錯行 女怕嫁錯郎
這幾天指考成績放榜了
相信很多高中生都在思考哪些是自己心目中最理想的志願
這裡提供一些個人的心路歷程
給在考慮要唸"醫中牙"的準醫師學弟妹們作參考
這是個很長的故事 要看完可能要看很久
故事主要是我想跟大家分享
當初怎麼會想念醫科 怎麼會改唸牙科
怎麼會想放棄牙科 改唸中醫系
還有 為什麼今天 我開始會"後悔"了當初 "不唸牙科改唸醫科" 的決定
----
2014-1-21 update:
現在想法不同,時代變遷太快,即使Nokia也會被併購,臉書的市值是惠普的兩倍以上,人生怎麼過,不要向後看。
正向思考,參考:
chenglap 的 人生輸在起跑線?
或是蔡醫師的 心理素質好的人們
Lady Gaga Paparazzi
女神卡卡來台開唱,充滿媒體版面想不注意都難。想不到卡卡離台後,上Youtube點閱,實在是驚為天人!! " 女神"的翻譯真是再適合也不過了
卡卡介紹:http://saint1102.pixnet.net/blog/post/32141819
令人驚訝的,卡卡只有25歲,而且確實是工作狂。這次壹電視訪問她問到卡卡不工作的時候在喜歡做什麼,女神猶豫了很久,才說是 「watch movies.... 」
再次印證,也使得我們了解成功的秘訣,就是找出喜歡的事,然後持續的做!
很可惜,我們的教育可以說是填鴨,背誦的教育。
如台灣俗語「甘願做牛,免驚無犁通拖。」的奴才心態,正是統治者最喜歡的。
但從女神的身上,可以學到做自己,不要浪費時間在別人的眼光。還有一個新聞是女神卡卡已經破產好幾次,因為治裝費太貴……
卡卡衣Q離奇 4度破產 全球巡演 3架巨無霸服侍 http://www.libertytimes.com.tw/2010/new/apr/18/today-show7.htm
這個金錢觀打醒了我們,真正想追求的是什麼,不要迷失在金錢裡。一個投機者的告白裡講的「起初是好奇,後來是好玩,最後只是為了錢…」
最後要勉勵自己和大家,把握人生,花時間找到自己的興趣。
看lady gaga 的影片,聽她的音樂,會讓你感受到這世界的美好。
COPD 的 dynamic hyperinflation
紅線: after exercise
The major limitation to exercise performance in COPD is dynamic hyperinflation
http://jap.physiology.org/content/105/2/753.full
Dynamic hyperinflation -- after exercise, IC 下降, FRC 上升 -- IRV 下降, VT/IC 上升 -- restrictive mechanical constraint (alveolar hypoventilation)
15% COPD no decrease IC -- 1. milder COPD 2. severe (could not decrease IC)
相較於正常人 -- borg sclae 更容易上升, breath rate 更容易上升
改善方式: deeep and slower breath -- IC 上升 -- peak symptom-limited O2 uptake 上升, endurance time 上升, dyspnea 下降, peak VT 上升
| (D) | 20. | 出現內源性呼氣末正壓(auto-PEEP)時,如何處理(1)延長呼氣時間(increase E time),降低供氣流速 (2)使用較大管徑的氣管內管 (3)給予支氣管擴張劑 (4)減少潮氣量(decrease tidal volume) (5)給予抗發炎藥物(antiinflammatory agents),可減輕肺組織的破壞,改善預後 | |
| A. | 1+3 | ||
| B. | 3+4 | ||
| C. | 2+5 | ||
| D. | 2+3+4 | ||
| E. | 1+3+4+5 | ||
| (D) | 22. | 下 列何者為 Auto PEEP 好發之原因?(1) High tidal volume(2) Airway obstruction(3) High respiratory rate(4) COPD patients(5) Short inspiratory time | |
| A. | (1)、(2) | ||
| B. | (1)、(2)、(3) | ||
| C. | (2)、(3)、(4) | ||
| D. | (1)、(2)、(3)、(4) | ||
| E. | (1)、(2)、(3)、(4)、(5) | ||
CXR 胸部x光判讀 bronchiectasis

bronchial dilatation, bronchial wall thickening
Tram trackssevere and diffuse bronchiectasis
DD: LAM, langerhans cell histiocytosis
Cylindrical bronchiectasis: failure of the involved airways to taper progressively in their distal course.Varicoid bronchiectasis: irregular dilation, narrowing, and outpouching of the airways
Saccular bronchiectasis: focal or cystic distortion of the distal airways
轉錄新聞 衛生署竟把醫院當酒店(魏福全)
衛生署竟把醫院當酒店(魏福全)
http://tw.nextmedia.com/applenews/article/art_id/33486692/IssueID/20110627
恩主公醫院急診科主治醫師林憶直在急診室行醫6年,兩度遭黑道病患毆打,他除對施暴者提告,並擬聲請釋憲,讓醫師能依據《憲法》保障人民生存權的規定,可拒絕對曾施暴者看診。根據中國醫藥大學附設醫院急診室主任陳維恭曾對急診室醫護人員調查,89%醫師表示曾受威脅,37%曾經實際遭受暴力攻擊,護士則有73%曾受威脅,36%曾受暴力攻擊。由此可見醫護人員尤其在急診室受到的暴力威脅是何等普遍而且嚴重。
醫院應該是救人的場所,但過去已經發生不少打砸甚至追殺人的事件,這不但危害醫護人員的安全,對於當時正在就醫的病患更造成極大的危險,確實是可惡至極,檢警單位不該以一般暴力事件處理。然而民間醫改會認為是醫院防暴措施差,主張衛署要加強督導醫院急診安全。民間監督健保聯盟發言人也直指是醫院不負責,醫師才會被欺負。其實這些言論都是落井下石的風涼話。
針對以上的事件,衛生署也曾發了一封信函給所有醫院,內容有提到所謂以強暴、脅迫、恐嚇或其他非法的方法,滋擾醫療機構秩序或妨礙醫療業務的執行者可處新台幣3萬元以上5萬元以下罰鍰,如觸犯《刑法》者,應移送司法機關辦理。這不但是廢話,也是沒人怕的空話。信函裡唯一重要而且會真正落實的是強調醫院安全的環境是評鑑項目之一,醫院有責任配合辦理,要負責醫護人員的人身安全。表面上看起來是重視醫護人員人身安全,其實是把警察和法院等等治安司法機關的責任都推給了醫院,難道醫院不是公共場所不屬於司法管轄範圍之內嗎?是把醫院當成了酒店,還要自己找人來圍事嗎?
酒店找人圍事合理也實際,因為本身是非法營業而且不法人士出入頻繁,不方便麻煩警察來處理事情。醫院是合法機構,發生任何治安事件,本來就是警察 該來處理的。然而看到急診室打砸事件中,警察到了急診室稱呼帶頭打人的為「X哥」,還「請」他叫手下離開,令人不禁感慨警察這麼軟弱,卻要醫院這些穿白袍 白裙的自行來圍事,未免太可惡了。
用評鑑制裁推責
記得幾年前,有一陣子酒店常發生槍擊鬧 事案件,警方處理方法是警告這些原本就知道是違法經營的酒店,若再發生槍擊案就要去抄店外加斷水斷電。今日衛生署對醫院的要求,正如當年警方對待非法酒店 的方式一模一樣。把醫院視同特種行業,要保證不要出事,醫院只好要不請黑道老大來圍事,不然就鞠躬哈腰外帶賠款了事,千萬不要再爆出有人在醫院鬧事的案 件,不然評鑑這把大刀就要砍下來了。
衛生署發來這份公文的心態確實可議,衛生署真正該做的,是幹譙警政署為什麼警察機關沒有積極嚴肅處理醫院發生 的治安司法事件,請他們記得他們是人民養的不是黑道養的。也要請行政院幹譙司法院,對於類似案件不要像判酒駕殺人緩起訴那樣輕判,不然如何能制止這股暴力 歪風?如今,衛生署把防制暴力的責任打算明明白白的推給醫院負責,還要用所謂的評鑑來制裁醫院,把原本立意良善的評鑑制度操作到成為評鑑極權主義,不管是 什麼死人骨頭,醫院都被逼得趕快吞下去。只能說評鑑未免太好用,太牛逼,醫院只好乖乖的忍氣吞聲當傻逼了。衛生署打算用評鑑來懲罰身為受害者的醫院,讓醫 院面對暴力只能隱忍,這不只是顢頇無能是非倒錯,更助長了暴力者的氣焰。
作者為宏濟神經精神科醫院院長
這篇文章真是寫得太好了!! 配合上篇文章一起來看,共同點在那?(收入薪水降低 大家都默默忍耐)
























