Archive for 1月 2011
Interdependence in the lung


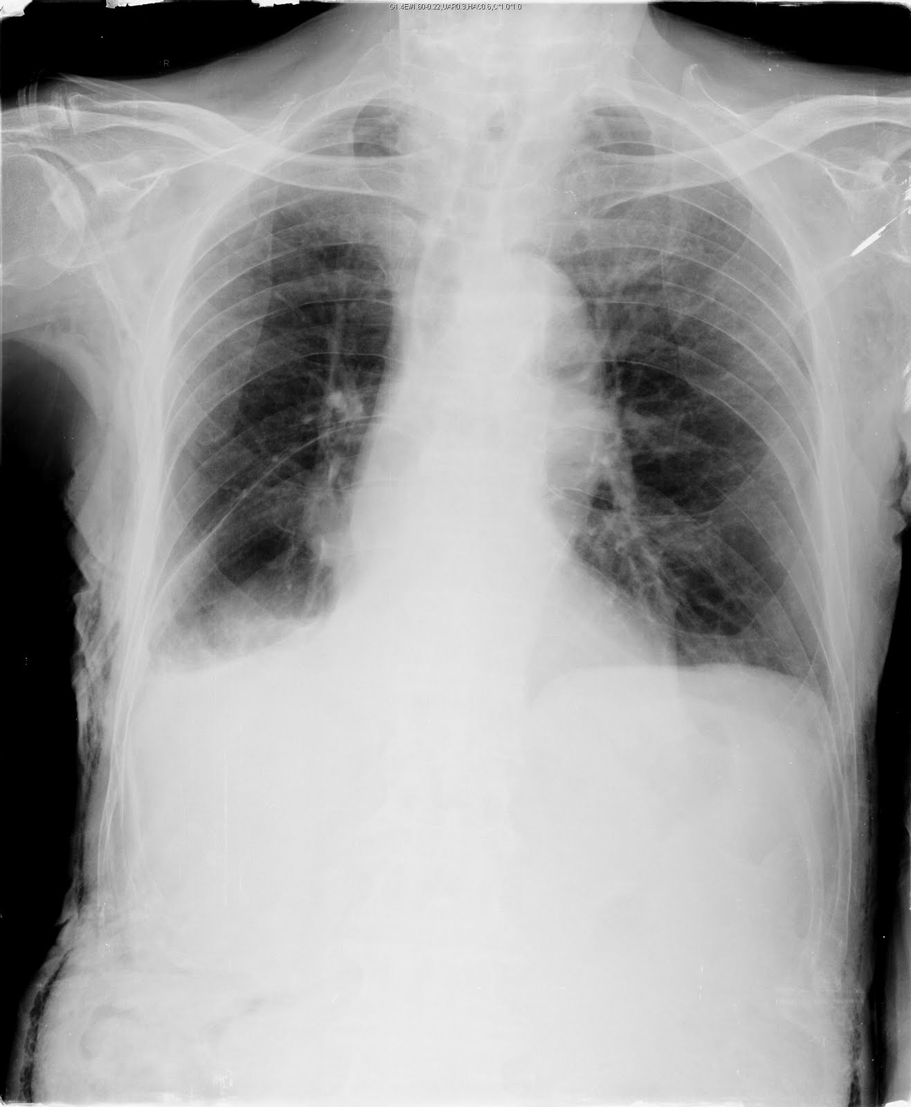
如上圖,88M, COPD with right pneumothorax history. Chest tightness for hours, HR120 beats/min, RR 32/min, BP 137/65 mmHg. PE: RLL decreased breath sound. EKG: RBBB pattern, no significant STT changes. Give O2 non-rebreathing mask 100% and oximeter showed SpO2 89%.
CK-MB, troponin-I normal limit.
追蹤CXR 如下

Favor chest tightness due to interdependence in the lung (personal opinion)
測量CVP時評估volume時,是否要扣掉PEEP ??? 影響多大?
CVP: central venous pressure; PEEP: positive end-expiratory pressure
呼气末正压对机械通气患者中心静脉压及髂总静脉压的影响
http://g.wanfangdata.com.hk/D/Periodical_zgwzbjjyx200806007.aspxEffect of positive end-expiratory pressure on central venous pressure and common iliac venous pressure in mechanically ventilated patients
http://www.ncbi.nlm.nih.gov/pubmed/18549712
參考這篇中國期刊
PEEP 0, 5, 10 cmH2O時,
CVP level 分別是 4.6, 5.3, 6.1 mmHg
很實用的資料!
The Hoover's Sign of Pulmonary Disease
http://www.clinicalmolecularallergy.com/content/pdf/1476-7961-6-8.pdf
在obstructive lung disease, RV並非決定在chest wall, lung recoil, or expiratory muscle strengh,而是決定在airway closure !!!
高調行善

看中國大善人如此做好事,我也要把我做的善事po出來,以激勵大家如同我一樣。
昨天從醫院走路回家,快到社區時看到一個批頭散髮的婦女抱著一個小孩衝過馬路。隨後又追來一個平頭男子,大叫我錯了,都是我不對,然後開始打自己的臉。隨 後兩個人一起躺在馬路上,小孩走到人行道旁哭。看得我一頭霧水,不知如何是好。接著男子抱住黑衣女子,一直說我不對,不要這樣好不好。可是女子自顧自的尖 叫。說時遲那時快,旁邊燈火通明的公寓傳來「XXX,吵啥小」,打亂我的思緒。到底瘋的是誰?
就這樣過了許久,連工廠警衛,水果攤老闆都跑出來看。還是霧裡看花,越看越花。到底黑衣女子是否有精神方面的問題,而這個自稱是他老公的男子是全心的照顧 她?還是這個男子強擄女子為妻?女子終於找到一個機會投奔自由?
終於有一個機車騎士,在看了十分鐘之後打電話報警。警車呼嘯而來,人民保姆,載著大家的期待。問躺在地上的兩人發生什麼事?男子只重複一句話:我不能說, 我不能說。人民保姆可能以為他遇到NPC,只好使用道具請求EMT支援,說這個要去看醫生,要把女子送到醫院。想不到黑衣女子一把抱起在旁邊的小孩,又往 馬路上衝。雖然警察是有練過的,馬上飛身牢牢抓住黑衣女,但雙拳難敵四手,旁邊還有一個意圖不明的男子及一個無助的小孩。大家的神經都緊繃到了極點,不知 道接下來又會發生什麼事。幸好我受過嚴格的中國武術訓練,一個箭步檔在小孩還兩個瘋狂的成人之間,免去了可能發生的意外。
最 後,黑衣女子被強制送醫,但根據她越南朋友的說法,是因為平頭男子平時對她太差,才讓她變成這個樣子……精神病不是腦子的病嗎?
CXR 胸部x光判讀 lung abscess




Viridans streptococcusDD with pneumatocele formation, neoplasm.
Cavitary lesion: DD lung cancer, wegener,
(B) 228.除了那一項以外,下列各項均是lung abscess(肺膿瘍)預後不佳的指標
A.肺膿瘍的cavity size 直徑大於6 公分
B.症狀時間超過2 星期
C.發生在高年紀的病㆟
D.由Klebsiella pneumoniae 引起的肺膿瘍
E.由氣管阻塞(bronchial obstruction)引起的肺膿瘍
| (A) | 13. | 下列何者是肺膿瘍(lung abscess)的好發部位? | |
| A. | 上肺葉的後節(posterior segment of the upper lobe) | ||
| B. | 下肺葉側底節(lateral basal segment of the lower lobe) | ||
| C. | 上肺葉的前節(anterior segment of the upper lobe) | ||
| D. | 下肺葉的下節(inferior segment of the lower lobe) | ||
| E. | 右肺中葉的內側節(medial segment of the right middle lobe) | ||
值班醫師也不能掉已輕心
誤診害截肢 長庚、醫師判賠194萬
李春光妻子昨晚則說:「這幾年來,好好的人被弄得不能走路、工作,全家過得真艱苦。」記者前往採訪時,李代步的身障機車停在家門口,因身體不好,已入睡。
長庚及林、陳兩位醫師否認有醫療疏失,並指病患當時臨床表現,是非典型的「下肢急性血管栓塞」,值班醫師很難早期診斷,所以先以內科治療,視病情變化程度,再請外科醫師處理,這些都是醫療書籍上的規範。
法院參考榮總的鑑定報告,認為「下肢動脈血管栓塞」不是罕見疾病,而糖尿病患本來就是「下肢動脈血管栓塞」高危險群,但兩位醫師疏於注意,應對病患截肢負責,醫院也應負連帶責任。










